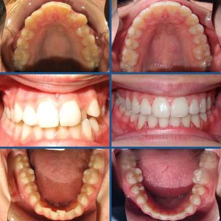
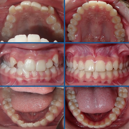
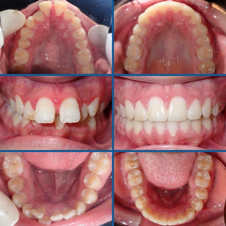
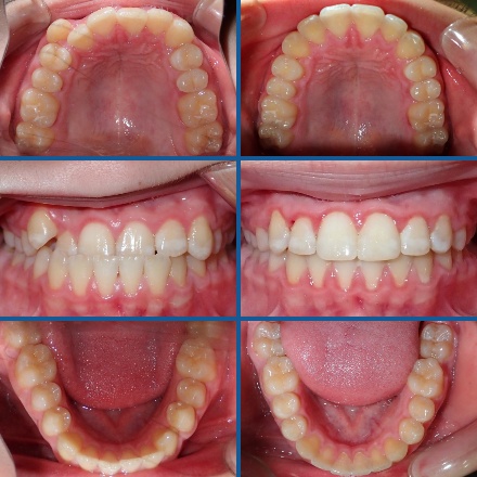
Creating beautiful smiles is an art as well as a science. At all Smiles Orthodontics we customize each treatment to design a beautiful, curved smile arc, as opposed to the flat smiles produced with traditional orthodontic techniques. With the examples below, you will “Discover the Difference” between having just straight teeth versus possessing a truly stunning smile!
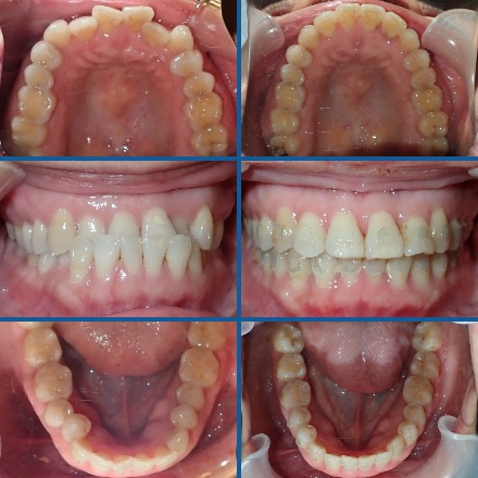
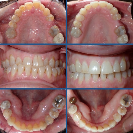
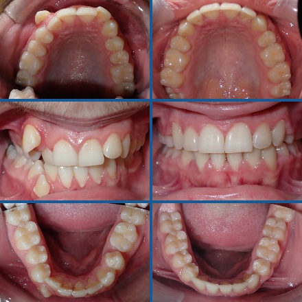
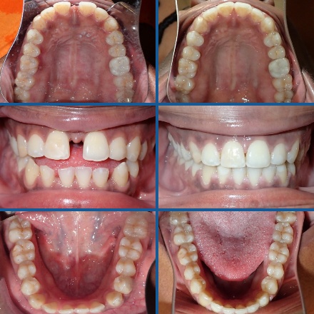
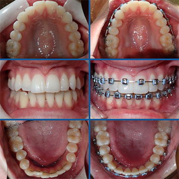
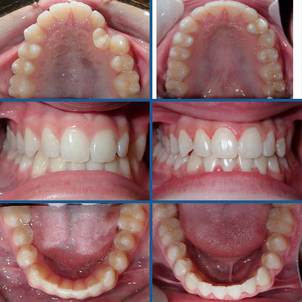
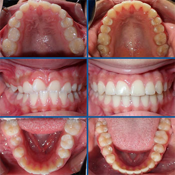
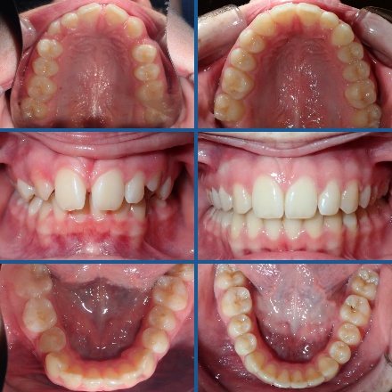
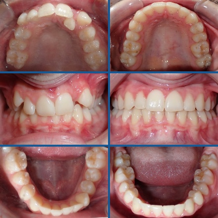
It all starts with a proper, customized diagnosis and treatment plan, as well as our artistically positioned braces. This patient transferred to All Smiles Orthodontics after being told they needed surgery to correct their smile. After removing the old braces and replacing them with our custom placed, high-tech braces, we were able to create a beautiful smile, without surgery. In our office she would never have been a surgical case to begin with.
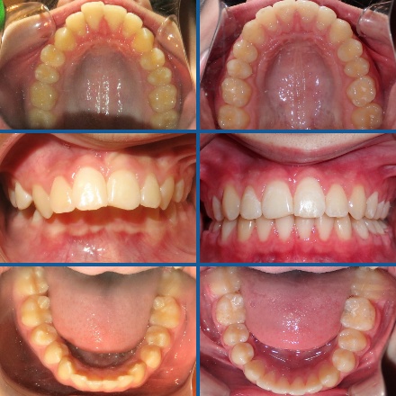
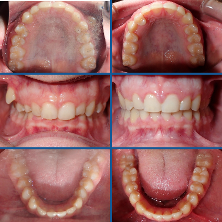
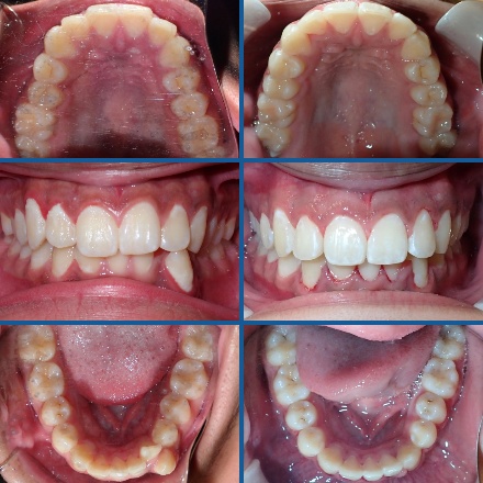
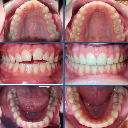
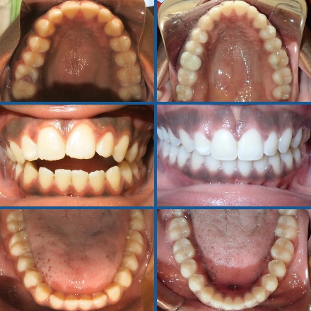
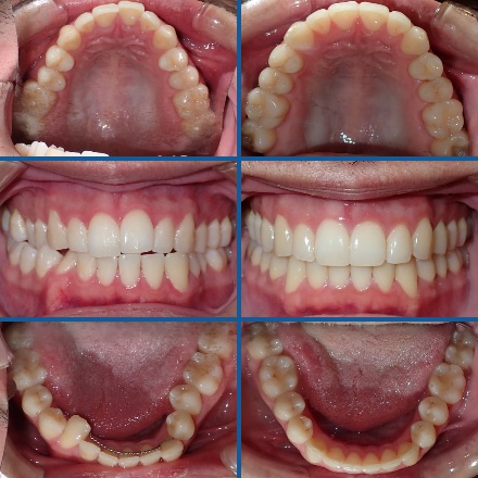
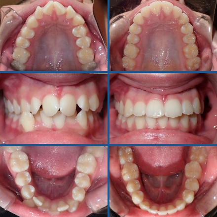
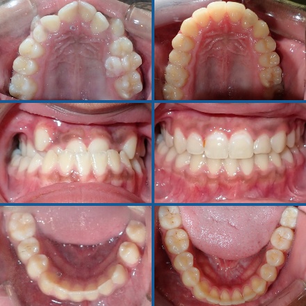
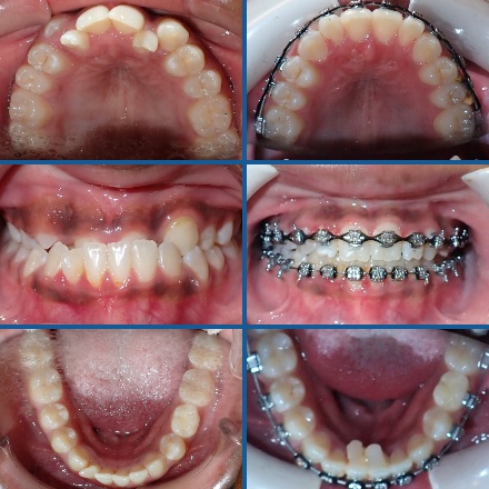
Making sure we create the proper amount of anterior tooth display results in more youthful and beautiful smiles that last for years. This case demonstrates the difference between having just straight teeth compared to having a more stunning smile.
At All Smiles Orthodontics, we believe in creating more youthful and stunning smiles with broad arch forms, without extractions whenever possible. This also creates an improved airway and tongue position, resulting in healthier breathing patterns.
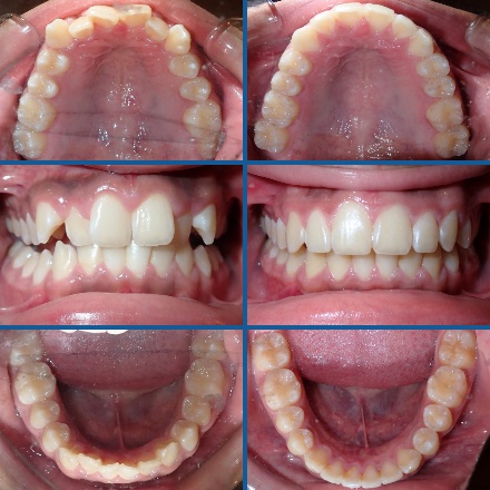
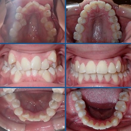
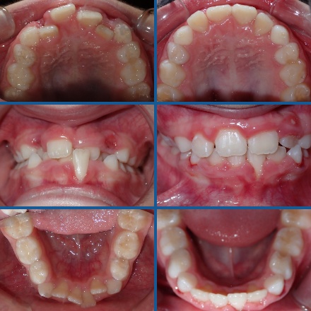
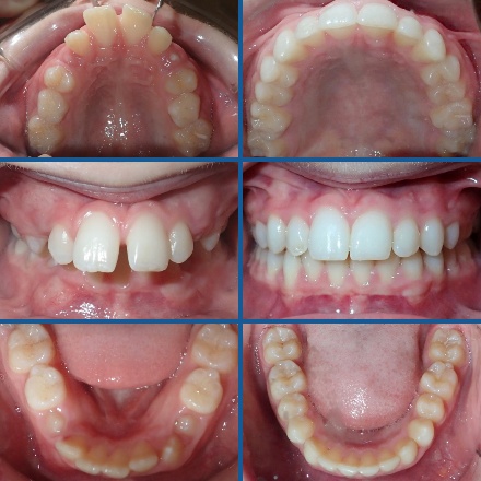
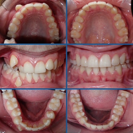
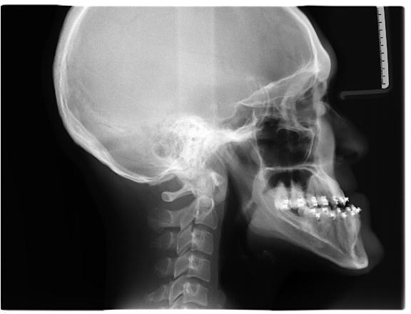
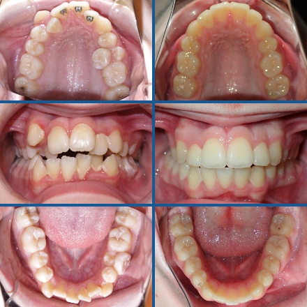
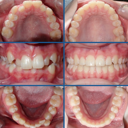
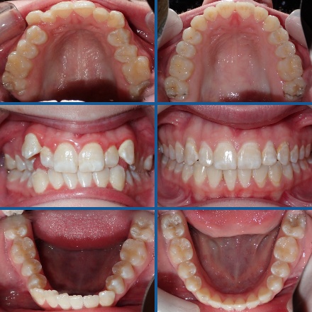
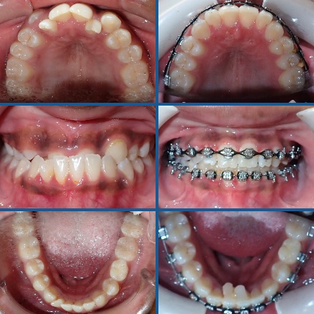
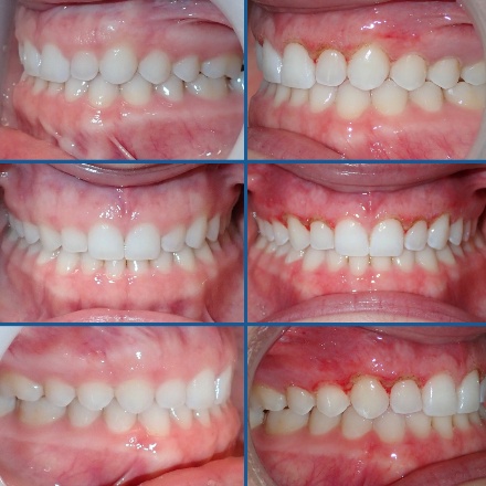
Patients are frequently told by other offices that the only way to treat their case is with Surgery. When they finally arrive at our office, we can correct many cases with our advanced techniques and bracket placement, without surgery. Here is an example of a patient that had been told at prior opinions that she could only be treated with surgery. As you can see, in only 5 months we were able to achieve significant improvement!
Anterior crossbite can result in severe wear of the front teeth, as well as bone loss and gingival stripping in the lower anterior region. This is one of the most common reasons for early treatment in children to prevent excessive damage.
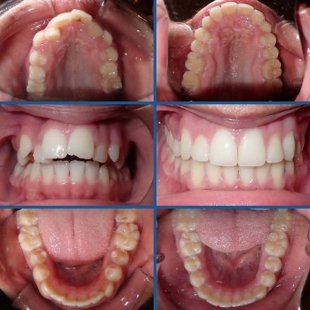
Anterior open bites can occur naturally due to tongue posture but usually is seen because of thumb or finger habits that prevent the normal eruption of the anterior teeth. In severe cases, surgical correction may be necessary. At All Smiles Orthodontics, using our advanced techniques, we are often able to provide beautiful results without the need for surgical intervention.
At All Smiles Orthodontics, we use growth modification and orthopedic treatments to maximize jaw growth potential – usually helping reduce the need for jaw surgery. Our customized treatment approach will give us the best results possible given the underlying skeletal and growth situation. Herbst Treatment- Maximizes the genetic growth potential of the lower jaw
Carriere- Maximizes overjet correction using lever principles to reduce the need for extractions.
Constricted Upper Arch with Cross-bite and Mandibular Shift- This is needed to prevent permanent mandibular asymetry
When growth discrepancies exist that make it impossible for the upper and lower jaws and teeth to fit together properly, surgery may be indicated in conjunction with orthodontics. With the improved facial esthetics and jaw harmony this approach provides, the results are life changing!
Have you been told you’re not a candidate for Invisalign, (but you really want Invisalign), and you’ll have to wear braces for two years? Or, have you been told that the results you’ve received with Invisalign is the best you’re going to get-but you’re still not happy?
At All Smiles Orthodontics, we don’t let the tools we use – braces or Invisalign – limit the choices you make or the quality of your results!
For this reason, we often utilize a combination of both Invisalign and braces!
Skeletal Discrepancy – Shapes Anterior This is one of the most common problems that Invisalign cannot correct efficiently. For more predictable results, we may place braces for a short period of time, and then complete the treatment with Invisalign.
This patient came to All Smiles for a 3 rd opinion, with the first two opinions stating she was not a candidate for Invisalign. This was due to the high position of the canine(s). We placed braces for 6 – 8 months and then finished her 18-month treatment with Invisalign. Braces for a short time changed an impossible Invisalign case into an easy and predictably beautiful Invisalign case.
Sometimes in cases with extreme crowding, the customized treatment plan that gives the most ideal and stable result involves extractions. We discuss the need to sacrifice a few teeth, most commonly one or more premolars, so that the remaining can be placed in a healthier and more stable, beautiful smile. Otherwise, we would risk thinning bone with recession, excess overjet/overbite, or excessive angulation of the teeth.
To correct an excess overjet that also has significantly lower crowding.
Often times, a patient's lower jaw growth or excessive crowding creates a situation where ideal treatment may require only one extraction of a lower incisor – which is still much better than 2 or more premolars!
in rare cases, a compromised lower canine may be extracted when space is needed, as opposed to an incisor or premolar(s).
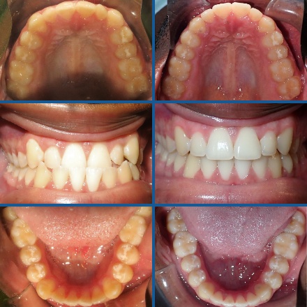
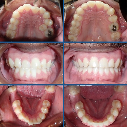
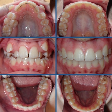
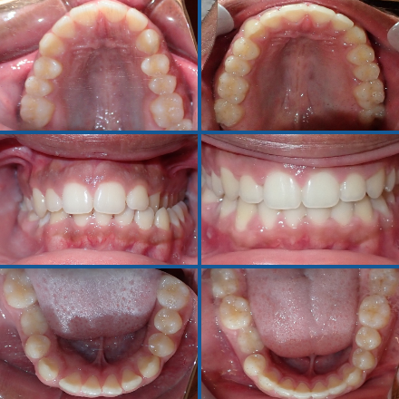
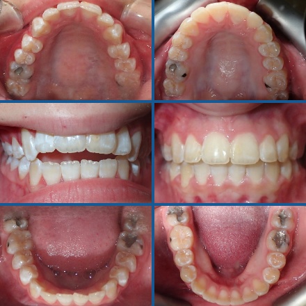
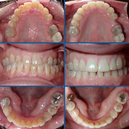
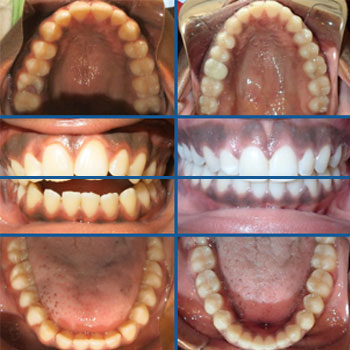
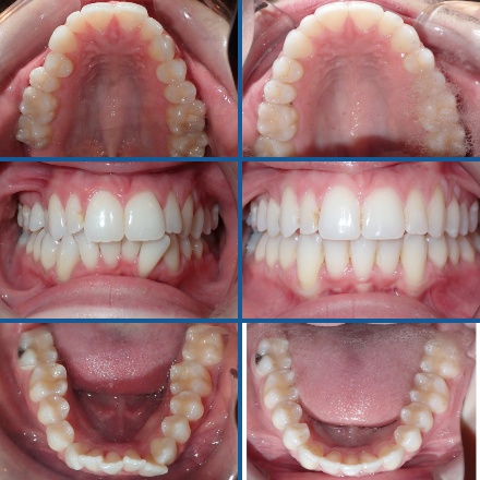
We see all kinds of malocclusions, and we customize our treatment plan for each individual situation. This provides the most beautiful and optimal result with predictable outcomes in each situation.
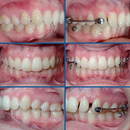
An example here occurs when a canine and premolar erupt into a “switched” position, known as transposed. This case shows how we can still achieve a healthy and beautiful result that is nearly impossible to see from the smiling viewpoint.
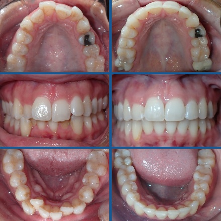
We often see missing upper lateral incisor(s) that need to be addressed. Sometimes we would opt for implants as the ideal choice to preserve the occlusion and facial profile for the optimal result. However, whenever possible, it would be a better choice to substitute the canines for the laterals, thereby preventing the need for surgical intervention.
It is common for alignment of the teeth to be performed prior to subsequent restoration of the teeth and bite. This allows for more optimal restoration to create a more beautiful smile with healthier, more stable outcomes!
Bonded retainers are not always the optimal final solution, as they can become distorted, resulting in movement of teeth, or relapse. We would need to correct this, and then either re-bond a new one, or choose a removable retainer instead.
At All Smiles Orthodontics, we offer laser recountouring of our gum tissue to further enhance our beautiful results. While most orthodontic offices don’t provide this service, we believe it is often a crucial factor in creating those wow smiles we are all striving for!
This is treatment with the goal of early expansion of the upper and lower arches to help prevent extractions, impactions (especially canines), and to improve airway development.
Stevie was awesome , always quick and easy to get in !
Thank you so much. I love STEEVIE & BREE... I will miss you both!!
This place is amazing! All the staff are great, especially Cici and the doctor! I look forward to going...
Such a beautiful and clean office, great atmosphere and friendly staff look forward to working with...
Great place lovely staffAnd Mrs Cipri is wonderful
Everyone was so nice and helpful. My provider, Ashley, was so great and I am very happy with my experience :)
Absolutely amazing experience! I couldn’t be happier with the results of my teeth. All the staff ...
Everyone on this team who helped me during my treatment was wonderful! I always felt welcome...
Amazing experience. Great doctor, super friendly staff, clean location. Highly recommend!
I had an amazing transformation to my teeth. Everybody always been so nice and i’m happy this...
All smiles is great I bring all the kids and myself here would recommend to anyone clean fast...
I only went through the process of braces for 1 year and have AMAZING results. The staff takes...